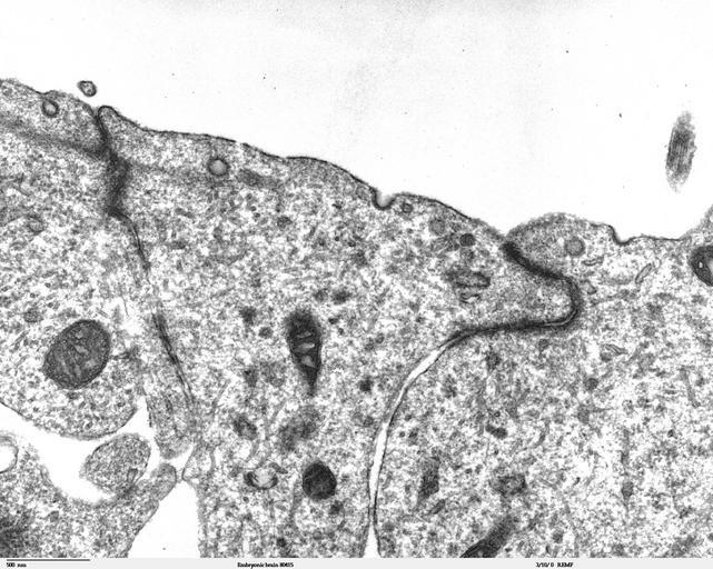
MAKE A MEME View Large Image Unctional complex and pinocytotic vesicles - embryonic brain - TEM.jpg Transmission electron microscope image of a thin section cut through the developing brain tissue telencephalic hemisphere of an 11 5 day mouse embryo This image of the ...
View Original:Unctional complex and pinocytotic vesicles - embryonic brain - TEM.jpg (1600x1278)
Download: Original    Medium    Small Thumb
Courtesy of:commons.wikimedia.org More Like This
Keywords: Unctional complex and pinocytotic vesicles - embryonic brain - TEM.jpg Transmission electron microscope image of a thin section cut through the developing brain tissue telencephalic hemisphere of an 11 5 day mouse embryo This image of the luminal surface of the telencephalon shows junctional complexes and pinocytotic vesicles The junctional complex is divided into three types of junctions 1 the most apical is the tight junction which controls and/or restricts the movement of molecules across epithelial layers and helps maintain polarity 2 the zonula adherens which also includes the numerous actin filaments seen in the apical cytoplasm and 3 the desmosome which is a spot junction The pinocytotic vesicles are formed from coated pits in the plasma membrane and are involved in endocytosis JEOL 100CX TEM References Marin-Padilla M 1985 Early Vascularization of the Embryonic Cerebral Cortex Golgi and Electron Microscope Studies J Comparative Neurology 241 237-249 Marin-Padilla M and M Amievo 1989 Early Neurogenesis of the Mouse Olfactory Nerve Golgi and Electron Microscope Studies J Comparative Neurology 288 339-352 http //remf dartmouth edu/imagesindex html http //remf dartmouth edu/images/mammalianBrainTEM/source/16 html Louisa Howard Miguel Marin-Padilla PD Louisa Howard Miguel Marin-Padilla Cell junctions Endocytosis Blood-brain barrier Transmission electron microscopic images
Terms of Use   Search of the Day